

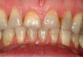
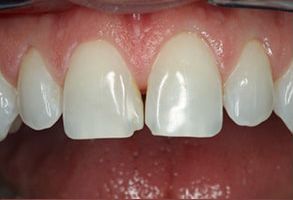
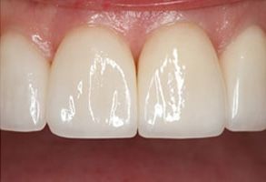
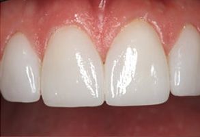
Looking to book your next dental visit or need more information about our services?
Getting in touch with Lake Harris Dental is simple and stress-free. Our welcoming team is happy to help you schedule an appointment, explain treatment options, and answer any questions you may have. Whether you choose to call, email, or use our easy online contact form, we’re ready to assist you. Take the next step toward a healthier, more confident smile by contacting us today and experience dental care tailored just for you.